801-782-0866
2707 N 400 E, North Ogden, UT 84414
Dental Services
Cosmetic Dentistry
Dental Implants
Dentures
Teeth Whitening
Veneers & Laminates
Same-Day Crowns
Sleep Apnea and Snoring
General Dentistry
Comprehensive Dental Cleanings
Crowns & Bridges
Dental Sealants
Extractions
Tooth-Colored Fillings
TMJ Treatment
Sedation Dentistry
Root Canal Therapy
New Patients
Office
Testimonials
Review Us
Dentists
Office Tour
Smile Gallery
Staff
Insurance
Payment Options
Contact
Dental Services
Cosmetic Dentistry
Dental Implants
Dentures
Teeth Whitening
Veneers & Laminates
Same-Day Crowns
Sleep Apnea and Snoring
General Dentistry
Comprehensive Dental Cleanings
Crowns & Bridges
Dental Sealants
Extractions
Tooth-Colored Fillings
TMJ Treatment
Sedation Dentistry
Root Canal Therapy
New Patients
Office
Testimonials
Review Us
Dentists
Office Tour
Smile Gallery
Staff
Insurance
Payment Options
Contact
Schedule an appointment
Home
–
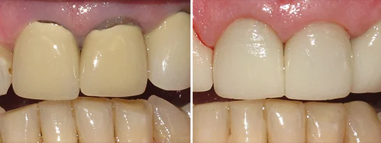
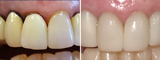
Replace metal-ceramic crowns with porcelain
Replace metal-ceramic crowns with porcelain
February 25, 2021
Share This Post
Recent Posts
The Best Treatments for TMJ
March 5, 2016
Why Do You Need Dental Cleanings?
February 29, 2016
10 Benefits of Same Day Crowns
January 31, 2016